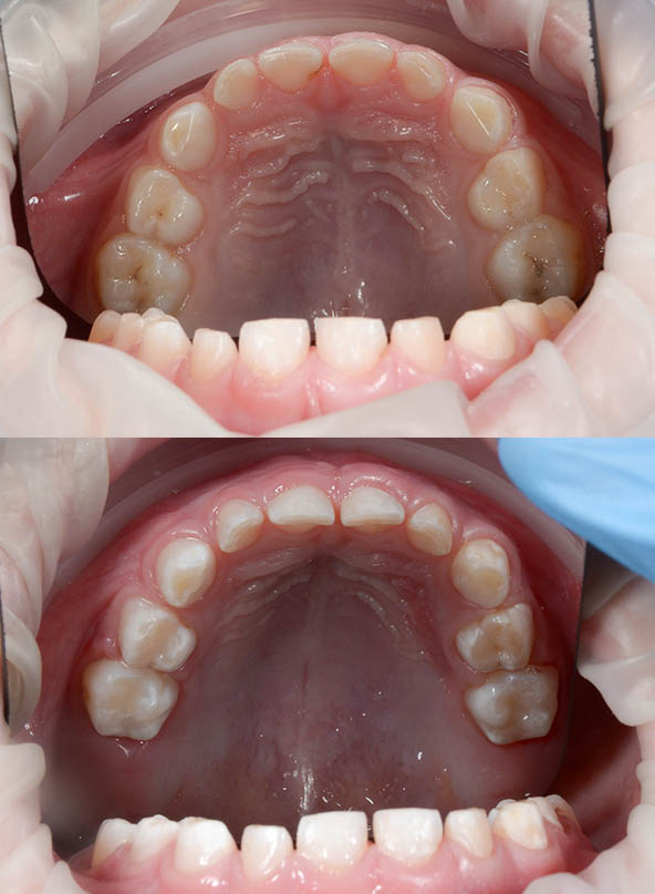
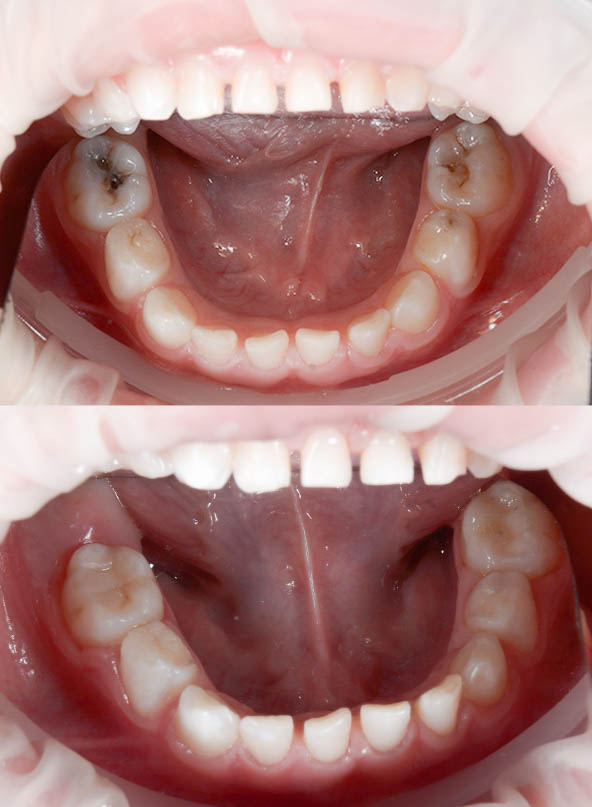
ЛІКУВАННЯ ЗУБІВ УВІ СНІ (СЕДАЦІЯ)
Коли потрібно запломбувати чи видалити зуб,деякі діти починають не на жарт хвилюватися.
Сучасні методи седації готові допомогти зайняти емоційне напруження дітей,але тут почитають непокоїтися батьки : а чи безпечна седація?Чи варто її використовувати?
Проте хвилюватись насправді не варто—сучасна седативна стоматологія абсолютно безпечна для дітей.
Будьте певні :
— при плануванні лікування лікар врахує всі особливості стану здоров‘я Вашої дитини та з‘ясує ,чи існують протипокази для проведення седації;
—для кожного конкретного випадку лікар-анастезіолог підбере оптимальний метод седації;
—як процес входу в седативний стан ,так і вихід з нього відбуваються згідно протоколів,які передбачають чітку послідовність певних кроків.
Зауважте:
— педіатри та дитячі стоматологи рекомендують седацію дітям,які бояться.
—це запобігає виникненню стресу,розвитку дентофобій та створює позитивне відношення до відвідувань стоматолога.







